Skip to main content Accessible Version

 Congratulations  Dr Kreuzer on the induction as a Fellow of the Pierre Fauchard Academy, an international dental honor organization that recognizes outstanding leadership and service in the dental profession.

To learn more about Dr. K visit click here

New leadership role (President Elect)- We are proud to announce that Dr. Luiza Kreuzer has been nominated as the President-Elect of the Richmond Dental Society.
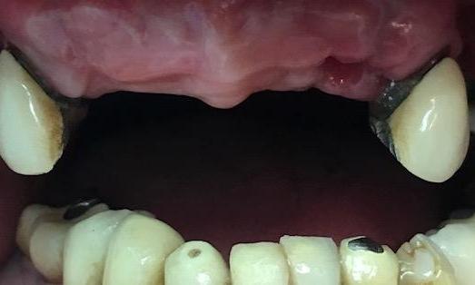
Dentures and Partial Dentures
Restore Your Smile and Bite Function

A full smile allows you to smile with confidence and enjoy all your favorite meals.

Dentures and Partial Dentures | Dentist
You Don't Have to Live with Tooth Loss
Contact Us

Dentures and Partial Dentures

Whether you’re missing all or only some of your teeth, you have practical teeth replacement options like dentures, partials, and bridges. Our team wants to help you achieve a great smile, which is why we offer dentures, partials, and bridges as restorative dental options.

How It Works

Whether you decide on dentures, partials, or bridges, all therapies begin with an evaluation by Dr. Kreuzer.

If you’re found to be a good candidate for dentures, partials, or bridges, we take molds and x-rays of your mouth to ensure that your replacement restoration fits and complements your smile.

Dentures for Complete Tooth Replacement

If you suffer from complete tooth loss, dentures are a practical option to restore your confidence and your smile.

If you have several missing teeth and your remaining teeth are weak and damaged, full tooth extraction is necessary prior to dentures.

Traditional dentures are removable plates or arches of replacement teeth. These arches are customized to the unique contours of your mouth for optimal fit and comfort. Additionally, the restoration teeth are natural-looking!

In some situations, patients opt for affixed dentures. This means the arch is held in place with a few dental implants.

Remember, today’s dentures have improved dramatically since the original denture models. We think you’ll be surprised how great they look!

Partials for Intermittent Tooth Loss

Partial dentures are a great treatment option for sporadic tooth loss when your remaining teeth are healthy. A partial is a plate or arch with restoration teeth custom-designed to fill in the spaces where teeth are missing.

This not only improves your smile, but it allows you to eat some of your favorite foods again.

Like dentures, partials are natural-looking, and the restoration teeth are designed and shaded to match your remaining teeth seamlessly.

Dental Bridges Take the Place of Missing Teeth

Unlike partials and dentures, a dental bridge connects to adjacent teeth or is supported by a dental implant for stability. Additionally, a dental bridge does not require a plate or arch and it is not removable.

Caring for Dentures, Partials, and Bridges

Prosthodontic therapies to replace missing teeth are always followed by specific instructions to help you get the most out of your dental restoration or appliance.

It’s important to still have regular dental exams and cleanings even with dental restorations. Your gum health is important and restorations do not protect against gum disease.

Contact Our Prosthodontic Office

Tooth replacement options in the hands of a prosthodontist are a safe and practical solution to tooth loss.

If you’re considering dentures, partials, or bridges, get in touch with our dental team to schedule an assessment today.

Gentle dentistry for those who are anxious in the dental office

Meet Our Doctor:

Dr. Luiza Kreuzer
Dentist

Dr. Kreuzer was born and raised in the lively metropolitan city of Bucharest, the capital of Romania. She moved to Richmond, VA over two decades ago to pursue her lifelong dream of becoming a dentist. 

Always the dedicated student, Dr. Kreuzer was awarded the highest distinction of graduating summa cum laude, with degrees in biology and chemistry from Virginia Commonwealth University in 2005. After many years of intensive study and development, she earned her Doctorate in Dental Surgery from VCU School of Dentistry, with honors. 

Dr. Kreuzer’s deep passion ...

Ready to Learn More about Tooth Replacement?
Get Started!